
Рентгенологічне дослідження зубів – це високоефективний метод діагностики, який дозволяє лікарям визначити наявність або відсутність стоматологічних захворювань, спланувати лікування і перевірити якість таких процедур, як пломбування кореневих каналів або встановлення імплантатів.
В основі методу лежить використання рентгенівського апарату, призначеного для дослідження внутрішніх структур зубів і тканин порожнини рота. Завдяки променю, що проектує зображення, лікар може виявити порожнини, карієс, зміни типу та складу тканин у досліджуваній ділянці тощо. Залежно від потреби, можна зробити рентген всіх зубів або кожного зуба окремо.
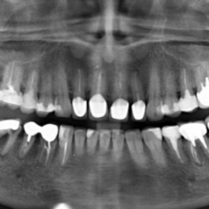
Особливості дентальних рентгенівських знімків
Рентген зубів – один з найпоширеніших методів діагностики в сучасній стоматології. Його призначають у процесі діагностики більшості проблем, від каріозних уражень і флюсу до виявлення утворення кіст і контролю якості пломбування кореневих каналів.
Під час первинного огляду пацієнта стоматолог може визначити причину дискомфорту або болю лише за зовнішніми ознаками та симптомами. Більшість складних стоматологічних проблем зачіпають як поверхні зубів, так і внутрішні тканини зубів, ясен і щелепної кістки. Для постановки точного діагнозу лікарю необхідно отримати актуальні знімки тканин у проблемній ділянці (одного, кількох або всієї щелепи).
Зверніть увагу! Для кожної процедури пломбування кореневих каналів необхідна рентгенографія зуба, щоб визначити точну глибину каналу, якість очищення та ефективність пломбування. Якщо пломбування кореневого каналу недостатнє, лікар перевірить порожнину за допомогою рентгенівського знімка і запломбує її повторно. Каріозна порожнина може викликати запалення, яке може мати серйозні наслідки для всього організму, аж до втрати зуба.
Показання до обстеження:
- Запальні процеси в тканинах ротової порожнини, в тому числі зубні кісти;
- Пізні стадії пародонтиту або пародонтозу;
- Перед хірургічними втручаннями: видалення зубів, імплантація, остеогенез;
- Діагностика неправильного прикусу та інших ортодонтичних проблем;
- Механічні пошкодження в ротовій порожнині: наприклад, переломи щелепи, відколи зубів;
- Контроль якості стоматологічного лікування.
🦷 Діагностичний рентген від ЗУБ-НИК: професійна діагностика для вашого здоров'я та комфорту!
У стоматології “ЗУБ-НИК” ми розуміємо, що правильна діагностика – це ключ до ефективного та безпечного лікування зубів. Тому ми пропонуємо нашим пацієнтам діагностичний рентген – сучасний метод обстеження, який дозволяє отримати детальні зображення структури та стану зубів, щоб наші стоматологи могли точно діагностувати проблеми та розробляти індивідуальний план лікування.
✨ Чому люди обирають діагностичний рентген у стоматології "ЗУБ-НИК"?
- Досвід та професіоналізм: Наші стоматологи мають багаторічний досвід у лікуванні карієсу та використовують сучасні методи і технології, щоб забезпечити ефективні та безболісні процедури.
- Індивідуальний підхід: Ми розуміємо, що кожен пацієнт унікальний, тому ми пропонуємо індивідуальне планування та лікування, враховуючи ваші потреби та побажання.
- Комфорт та зручність: У нас ви знайдете затишну атмосферу та дбайливий підхід до кожного клієнта. Ми прагнемо зробити ваше лікування карієсу максимально комфортним та безпечним.
- Індивідуальний підхід: Ми працюємо з кожним пацієнтом індивідуально, розглядаючи його потреби та особливості, щоб забезпечити найбільш ефективну та адаптовану до нього діагностику.