У кожного пацієнта візит до стоматолога асоціюється зі звуком бормашини. Часто неприємні спогади викликають у людей дискомфорт, тому візит до стоматолога відкладається до гострого зубного болю.
Сучасна стоматологія може змінити ставлення до лікування каріозних зубів та інших стоматологічних захворювань. Відвідування стоматолога рекомендується на ранніх стадіях виникнення болю.
Вчасно звернувшись до стоматолога, можна заощадити час, фінансові витрати та уникнути несприятливого результату.
Характеристики карієсу зубів
Карієс – це руйнівний спалах мікроорганізмів у твердих тканинах зуба. Зовнішні та внутрішні мікроорганізми вражають дентин, спричиняючи утворення карієсу – руйнівного процесу. Якщо його не лікувати, він може спричинити запалення пульпи та періодонтальної зв’язки.
Карієс викликають мікроорганізми, які розвиваються на поверхні зуба і руйнують емаль. Швидкість, з якою мікроорганізми здійснюють свій шкідливий вплив, залежить від умов, сприятливих для їх розвитку, і здатності організму протистояти патогенним бактеріям.
Активний ріст мікроорганізмів відбувається під впливом таких факторів:
- Повна або часткова відсутність гігієни порожнини рота – очищення зубів від залишків їжі;
- Неправильне харчування, висока частка вуглеводів і низький вміст клітковини в їжі;
- Нестача вітамінів;
- Погана якість води з нестачею фтору, фосфору та кальцію;
- дисфункція імунної системи;
- Захворювання органів травлення.
Чому карієс треба лікувати?
Якщо вчасно не почати лікування карієсу зубів, хвороба буде прогресувати. Мікроорганізми проникають в дентин і викликають різноманітні шкідливі зміни. Найпоширенішими інфекціями є періодонтит, пульпіт і гранульоми.
Перша стадія запалення – пульпіт.
Пульпіт з’являється, незважаючи на появу симптомів карієсу і без належного лікування. Пульпіт утворюється в середині зуба і може бути двох типів: гострий та хронічний.
Другий тип виникає при подразненні зуба чимось кислим або холодним і проявляється болісним болем.
Якщо проігнорувати лікування пульпіту, хвороба може прогресувати, викликаючи запалення кістки навколо коренів зуба, що призводить до періодонтиту.
При гострій формі захворювання підвищується температура, запалюються ясна і з’являється пульсуючий біль. Сильний біль відчувається при різних контактах із зубами. Ці симптоми характерні для гнійного періодонтиту і часто вимагають видалення зуба. Серозний періодонтит проявляється безсимптомно і може лікуватися за допомогою радикальних методів лікування для зняття запалення. Хронічний періодонтит характеризується утворенням гранульом навколо коренів. Через відсутність симптомів хворобу важко діагностувати на ранніх стадіях. Гранульоми є причиною необхідності негайного стоматологічного лікування. Якщо не звернутися до стоматолога, гранульоми можуть перерости в кістозні гранульоми, а потім і в кісти. Стоматологи можуть лікувати їх терапевтичними або хірургічними методами.
Етапи розвитку каріозного зуба
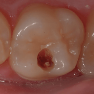
Розвиток каріозного зуба відбувається поетапно. З’являються плями. Розпізнаються перші ознаки поверхневого карієсу.
Формується середній карієс. Мікробні спалахи призводять до глибокого карієсу.Перші ознаки карієсу можна розпізнати за зниженням блиску емалі та появою чорних плям на поверхні зуба. Ця ознака пояснюється зменшенням вмісту мінералів і зміною структури тканин зуба.
Поява білого нальоту свідчить про такі проблеми:
- Прогресуюча демінералізація.
- Розвиток поверхневого карієсу через порушення структури емалі.
- Тимчасове припинення прогресування карієсу через вплив пігменту, який змінює колір емалі і далі руйнує тканини.
Ранній карієс не має симптомів. Може виникати чутливість до різних подразників. Для діагностики використовують метиленовий синій, який злегка забарвлює сліди.
Другий тип карієсу розвивається на ділянках зі світлими або пігментованими плямами. Він характеризується короткочасними больовими відчуттями, викликаними різними харчовими подразниками. Під час діагностики стоматолог виявляє дефектні зміни в зубній емалі. У тріщини можуть потрапити мікроорганізми.
Третя стадія є наслідком другої стадії. У дентині розвивається патологічна мікрофлора, після чого з’являються глибокі сліди карієсу, які негативно впливають на тканини зуба. Ця стадія супроводжується короткочасним болем, який з’являється після впливу механічних, термічних або хімічних подразників. Біль зникає після прийому їжі. Під час діагностики в зубах пацієнта спостерігаються глибокі каріозні порожнини з м’якими тканинами. Також можуть бути виявлені симптоми пульпіту.
Методи лікування карієсу
Вибір методу лікування залежить від ступеня прогресування карієсу. Невеликі каріозні плями просочуються препаратами фтору і кальцію. Друга, третя і четверта стадії лікуються за допомогою попередньої обробки. Видаляються пошкоджені тканини і відновлюється форма зуба за допомогою композитного матеріалу. Глибокий карієс вимагає двох візитів до стоматолога для лікування.
Ранні стадії карієсу лікують неінвазивними або консервативними методами. Стоматолог видаляє зубний наліт з поверхні зуба і мінералізує емаль.
Карієс I типу лікується поетапно:
- Гістологічне дослідження та діагностика;
- Відділення ясен;
- Чистка спеціальними складами.
Пошкодження зубів внаслідок глибокого карієсу лікують спеціальними інструментами та за допомогою:
- Анестезія або седація;
- Лікування пошкоджень медикаментозними препаратами та механічним впливом;
- Встановлення захисних накладок;
- Реконструкція зуба пломбувальними матеріалами;
- Шліфування та полірування емалі.
Перед встановленням накладки необхідно перевірити рівень протравлювання каріозного ураження. Це пов’язано з близькістю чутливої пульпи. Саме ця особливість є причиною відсутності больових відчуттів після лікування. Якщо каріозна порожнина глибока і тканини запалені, стоматолог прочистить кореневий канал.
У пацієнтів з пришийковим карієсом або карієсом молочних зубів часто утворюються каріозні порожнини. Це відбувається через тонкий шар емалі біля лінії ясен. Це фізіологічне явище стимулює швидке руйнування тканин. Під час гігієнічних процедур у цій ділянці через недостатнє чищення накопичується наліт і зубний камінь. Лікування пришийкового карієсу ускладнене через розташування пошкодженої ділянки (часто під яснами). Під час лікування в оброблювану ділянку можуть проникати слина і кров.
На ранніх стадіях карієс видаляють без анестезії. Якщо емаль потемніла або зруйнована, перед лікуванням в ясна вводять знеболюючі ін’єкції. Поверхневий карієс кореня слід лікувати на ранніх стадіях. Так можна зупинити руйнування тканин і врятувати зуб. Такі захворювання можуть спровокувати розвиток пародонтиту, оскільки вогнище запалення знаходиться близько до ясенного краю.
Спосіб боротьби з карієсом – це його профілактика. Якщо ж ознаки каріозних зубів з’явилися, їх можна видалити за допомогою сучасних методик, обладнання та матеріалів. Каріозні зуби можна успішно відновити на будь-якій стадії розвитку карієсу. Наші кваліфіковані стоматологи лікують каріозні зуби в різних ситуаціях, включаючи премоляри, моляри, вагітність і під час ортодонтичного лікування. Оскільки кожен випадок індивідуальний і відрізняється від інших, стоматологи використовують власні методи і техніки. Класичні методи часто поєднуються з інноваційними техніками та використанням сучасних матеріалів та інструментів. Всі процедури проводяться під анестезією. За показаннями використовується седація, щоб позбавити пацієнта від дискомфорту під час лікування.
Вчасне звернення до стоматолога дозволяє уникнути пошкодження зубів. Стоматологи рекомендують пацієнтам проходити огляд ротової порожнини не рідше двох разів на рік. Відвідування стоматологічної клініки з метою профілактики може заощадити ваш час і гроші, а також подарувати вам здорові зуби і красиву посмішку.
Ціни на послугу “Лікування карієсу“
Щоб уникнути помилок у ціноутворенні, всі тарифи зібрані на окремій сторінці. Звертаємо вашу увагу, що ціни на лікування карієсу можна подивитися тут.
Лікуйте карієс у стоматології ЗУБ-НИК: ваші здорові почуття починаються з наших рук!
У стоматології “ЗУБ-НИК” ми розуміємо, як важливо мати здорові зуби для вашого загального самопочуття та самовпевнення. Карієс – це поширена проблема, яка може призвести до болючих відчуттів та погіршення стану зубів, якщо її не вчасно вилікувати. Саме тому ми пропонуємо вам наші послуги з лікування карієсу, щоб ваші усмішки були яскравими та здоровими.
✨ Чому люди обирають лікування карієсу у стоматології "ЗУБ-НИК"?
- Висока якість зображень: Наше обладнання для діагностичного рентгену забезпечує високу якість зображень, які дозволяють нашим лікарям докладно вивчати стан вашого зубного ряду та оточуючих тканин.
- Точна діагностика: Завдяки детальним зображенням, отриманим за допомогою рентгену, ми можемо точно визначити наявність карієсу, пульпіту, проблем з кореневими каналами та інші стоматологічні проблеми.
- Безпека та комфорт: Наші спеціалісти забезпечують максимальний комфорт та безпеку під час проведення діагностичного рентгену. Ми дотримуємося всіх сучасних стандартів безпеки та застосовуємо заходи для мінімізації дози випромінювання.
- Технологічне оснащення: Наша клініка обладнана сучасними медичними приладами та обладнанням, що дозволяє проводити ефективне та точне лікування карієсу.


