Технології в галузі гігієни порожнини рота постійно розвиваються. Серед новинок – зубна паста, яка контролює тривалість чищення зубів.
Якщо під час чищення колір пасти змінюється з білого на синій, це означає, що минуло дві хвилини, зуби чисті і можна полоскати рот.
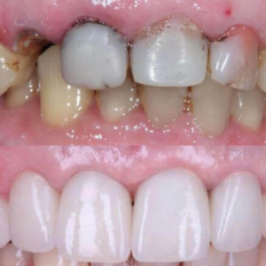
Однак, якщо зуби сильно пошкоджені, ніяка зубна паста не допоможе. Виходом з такої ситуації є протезування.
Все більше пацієнтів ЗУБ-НИК обирають цирконієві коронки.
Ключові переваги цирконієвих коронок
Стоматологи називають цирконій “білим золотом”, адже цей матеріал дуже добре підходить для протезування зубів. Властивості діоксиду цирконію такі ж, як у зубної емалі, і перевершують природні тканини: він стійкий до карієсу і не руйнується від нальоту і зубного каменю.
Не відрізнити від емалі: цирконій – це яскраво-білий матеріал, який пропускає сонячне світло і виглядає так само, як здорова зубна емаль;
Тонші, але міцніші: коронки з оксиду цирконію тонші, ніж металокерамічні протези, але не менш міцні, ніж металеві, і відновлений зуб легко витримує жувальні навантаження;
Максимально зберегти зуб: щоб протез залишався на місці, стоматологи обточують зуб під коронку в два-три рази менше, ніж при металокерамічному протезуванні;
Цирконієві коронки гіпоалергенні та ідеально підходять для людей з алергією на метали. Хоча цирконій – це метал, його діоксид не є металом;
Цирконієві коронки розраховані на термін служби від 15 до 20 років. Головне – повністю видалити пошкоджений дентин, обробити його, щоб зупинити процес карієсу, і запломбувати канал (цю процедуру найкраще робити під мікроскопом).
Цирконієві коронки: показання та протипоказання
Цирконієві коронки – універсальний інструмент у протезуванні. Вони використовуються для вирішення широкого спектру стоматологічних проблем, включаючи потемнілу емаль та імплантати.
Коли застосовуються коронки з діоксиду цирконію?
- Зруйнованість зубів понад 50%;
- Штучні зуби для корекції форми;
Заміна старих протезів; - Виправлення прикусу;
- Протезування на імплантатах;
- Зміна кольору ясен внаслідок металокерамічного або металевого протезування;
- Протезування мостоподібними конструкціями при відсутності декількох зубів підряд;
- Алергія пацієнта на протези з металу або інших матеріалів.
Цирконієві коронки встановлюються на передні та бокові зуби. Цирконієві коронки встановлюються на імплантати або штифти, навіть якщо показано видалення або імплантація (за умови збереження кореня зуба). Коронки з діоксиду цирконію використовуються при протезуванні зубів.
Коронки з діоксиду цирконію на передні зуби: коли носіння неможливе.
Протипоказання до носіння коронок з діоксиду цирконію такі ж, як і для інших ортопедичних конструкцій:
- Браксизм (мимовільне скреготіння зубами);
- Рухливість зубів;
- Імунокомпроміс;
- Серйозні дефекти прикусу;
- Запальні процеси в ротовій порожнині;
- Якщо в результаті лікування проблеми з зубами були усунені, протези з діоксиду цирконію можна встановлювати без проблем.
Види цирконієвих коронок і нюанси носіння
В основі сучасних зубних протезів лежить діоксид цирконію – сполука цирконію. Цей матеріал має міцність, близьку до металевої, але при цьому гіпоалергенний. Будучи білими і напівпрозорими, вироби з діоксиду цирконію максимально наближені до зубної емалі.
Види цирконієвих коронок Існує два види коронок з діоксиду цирконію
Каркасний протез: складається з двох елементів: цирконієвого каркаса і порцелянового покриття. Основна область застосування – зуб у зоні посмішки, коли встановлюється штифт або трансплантується передній зуб;
Цілісні коронки: виготовляються з цільної цирконієвої маси. Вони міцніші, ніж каркасні вироби, але трохи менш естетичні і часто встановлюються на моляри – жувальні зуби.
Коронки з діоксиду цирконію: зношування зубів
У нашій стоматологічній практиці успішно застосовується протезування зубів коронками з діоксиду цирконію. Якщо ви хочете відновити сяйво і красу своєї посмішки, запишіться на прийом до клініки ЗУБ-НИК у Дніпрі. Всього через кілька візитів в результаті лікування серйозні проблеми з зубами залишаться в минулому.
Процес протезування цирконієвими коронками в нашій клініці
Перший етап – підготовка. Стоматолог огляне ротову порожнину і, за необхідності, проведе лікування зубів і ясен.
Після того, як ротова порожнина буде продезінфікована, настає наступний етап. Стоматолог наносить на губи пацієнта пом’якшувальну пасту і накладає нитку по краях ясен, щоб захистити слизову оболонку під час операції.
Потім лікар зішкрябує зуб під коронку. Спеціально відрегульоване алмазне долото використовується для максимально м’якого та точного видалення дентину та емалі. Процедура безболісна, за необхідності використовується місцева анестезія.
Потім протезист знімає силіконовий зліпок зуба і надсилає його до зуботехнічної лабораторії. Пацієнту встановлюють пластмасову тимчасову коронку. Цирконієва коронка виготовляється з 3D комп’ютерної моделі на високоточному фрезерному верстаті. Ця технологія дозволяє створити анатомічно правильну коронку, яка ідеально прилягає до дентину.
Під час наступного візиту стоматолог приміряє готову цирконієву коронку. Якщо ніяких коригувань не потрібно, стоматолог фіксує протез на місці за допомогою спеціального медичного цементу. Коронка встановлюється за 5-20 хвилин.
Відразу після установки цирконієва коронка повністю готова до використання. Ви можете посміхатися, розмовляти і святкувати цю радісну подію в ресторанах. За відгуками наших пацієнтів, цирконієві зуби відразу розпізнаються як “натуральні”, і їм комфортно жити з цими протезами.
Як доглядати за цирконієвими коронками
Цирконієві коронки не потребують особливого догляду. Достатньо звичайних правил гігієни: чистити зуби щонайменше двічі на день, після їди, використовуючи розчин для чищення та зубну нитку. Рекомендується використовувати м’яку або середньої жорсткості щітку, щоб уникнути пошкодження емалі та поверхні протеза.
Важливо знати, що “перепади температур” можуть мати негативний вплив на зубну емаль і матеріал коронки. Уникайте різких перепадів температури. Наприклад, не рекомендується одночасно пити крижану колу і їсти гарячий гамбургер, щоб не допустити розтріскування коронки.
Цирконієві коронки, як і звичайні зуби, потребують професійної гігієнічної чистки кожні півроку, під час якої стоматолог видаляє наліт і зубний камінь з емалі.
Цирконієві коронки мають один недолік: ціна протеза. Вартість цирконієвих коронок трохи вища, ніж інших видів, навіть керамічні коштують дешевше. Однак їх ціна виправдана терміном служби, міцністю, естетикою і комфортом. Якщо ви хочете дізнатися, скільки буде коштувати коронка з цирконію під ключ, рекомендуємо записатися на консультацію ЗУБ-НИК одного з наших лікарів-ортодонтів безкоштовна.
Установка цирконієвої коронки – це не витрати, а мудра інвестиція: інвестиція в красу вашої посмішки і здоров’я ваших зубів.
Ціни на послугу “Цирконієвих коронк”
Щоб уникнути помилок у ціноутворенні, всі тарифи зібрані на окремій сторінці. Звертаємо вашу увагу, що Ціни на вініри можна подивитися тут.
🦷 Ми з радістю представляємо вам передові методи для відновлення здоров'я та краси вашого посмішки, зокрема - цирконієві коронки у стоматології "ЗУБ-НИК".
Цирконієві коронки – це інноваційне рішення для відновлення пошкоджених зубів, яке забезпечує максимальну міцність, природний вигляд та довговічність. У клініці “ЗУБ-НИК” ми використовуємо найсучасніші матеріали та технології для створення індивідуально підібраних цирконієвих коронок, які відповідають вашим потребам та очікуванням.
✨Чому варто обирати цирконієві коронки у стоматології "ЗУБ-НИК"?
- Надійність і міцність: Наші цирконієві коронки відзначаються високою міцністю та довговічністю, що забезпечує надійне відновлення функціональності пошкоджених зубів.
- Природний вигляд: Ми використовуємо цирконій, що максимально точно імітує природну структуру та колір вашого природного зуба, що забезпечує природний вигляд вашої усмішки.
- Індивідуальний підхід: Наші фахівці працюють з кожним пацієнтом індивідуально, розробляючи план лікування, що враховує їхні особисті потреби та побажання.
- Комфорт та зручність: Ми розуміємо, що ваш комфорт – це наш пріоритет, тому ми забезпечуємо максимальний комфорт під час встановлення цирконієвих коронок та на кожному етапі лікування.


